一名年轻男子因为打喷嚏的时候忍了一忍,结果导致他的喉咙开裂,被送进医院急救。为此,医生们警告,打喷嚏的时候千万不能强忍!否则可能导致喉咙、耳朵受伤,甚至让脑动脉破裂。

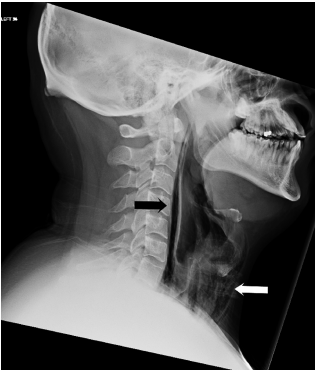
根据最新一期《英国医学期刊》(The BMJ)刊登病例,一名34岁男子因喉咙肿胀剧痛而赴急诊室求诊。
医师询问后得知,原来该名男子强忍住不打喷嚏,反而让这股压力重伤了喉咙。
报告中写道:「这名病患形容,当他闭上嘴巴且捏住鼻子,强忍住不打喷嚏时,喉咙内出现爆裂感。」

电脑断层扫描发现,该名病患吞下的喷嚏压力,导致喉咙受伤。
受伤后男子无法吞咽也无法说话,住院期间必须靠管子喂食并施打抗生素,一周后才治愈出院。
报告指出,“堵住鼻腔和口腔来阻止打喷嚏是非常危险的,会导致很多种并发症状,在罕见的情况下,强忍住不打喷嚏还会让空气困在两肺间的胸腔,耳膜破裂,甚至破坏脑动脉瘤,引发危险状态。
因此医师建议,打喷嚏时尽量张开口鼻,不要硬忍下来。

多伦多圣米高医院( St. Michael’s Hospital)的耳鼻喉科医生Dr. Jennifer Anderson表示,这种病例虽然很少见,但真的有发生过。她本人就接诊过多例,其中有一例,病人因为要忍住一个大喷嚏,背部一处脊椎盘错位。
Anderson说:“强气压需要找到一个出口,所以,如果不能从你的口或鼻腔出来,就要找别的地方。”
强忍喷嚏带来的气压和静脉压力,还会导致身体受到各种伤害,包括背部或胸背的肌肉撕裂,结膜出血等。
Anderson医生继续解释说,打喷嚏是身体的过滤器兼加湿器--鼻子的自我清理。鼻子是异物进入身体的第一道屏障。至于为何有人要强忍喷嚏,Anderson怀疑与文化有关。经历了SARS这样的疫情之后,人们都被教导要对着袖子打喷嚏或者忍一忍。但是下一次如果你再感觉要打喷嚏,不管有急不急,千万别再忍了。